香港九龍尖沙咀彌敦道132號美麗華廣場A座7樓7O7室

Thermage®FLX 熱瑪吉拉提

新一代Thermage®FLX智能緊膚療程( 內地稱為熱瑪吉,電波拉皮,台灣地區稱為鳳凰電波)採用專利單極射頻技術,安全地立體加熱深層皮膚,刺激膠原蛋白,達到即時收緊效果,同時促進膠原蛋白逐漸增生,持續塑造立體輪廓。

 新一代 Thermage®FLX採用突破性AccuREP™技術,自動檢測及微調每一發的射頻能量輸出,確保每發能量都貼合不同肌膚需要。

Thermage®FLX 熱瑪吉拉提
推薦人士
  • 皮膚開始出現輕微鬆弛下垂,失去彈性
  • 需要撫平皺紋,改善膚質和出現微衰的狀態
  • Thermage®也是目前唯一獲得FDA認證的非入侵性眼瞼療程
  • 要完全確認療程是否適合你,最佳方法始終是直接諮詢醫生
療程適用於
眼周(眼袋、眼紋)
面部
頸部
身體個別部位
療程效果
1

目前唯一獲得FDA認證的非入侵性眼 瞼療程

收縮毛孔、改善膚質、增加皮膚彈性。

2

安全性良好超過10年以上臨床研究 經驗

有效清除和緩解眼部、頸部等不同程度的細紋。

3

通常於3至6個月後,逐漸出現皮膚明 顯緊緻及線條改善的效果

改善灰暗肌膚、紅血絲、色素斑等,美白肌膚。

4

一次療程提升立體輪廓,重拾年輕

改善痤瘡和疤痕、平衡皮脂分泌。

  1. Thermage®的探頭
    Thermage®的探頭
  2. 治療部位上打格定位 然後將高能量的高頻電波傳導至皮膚層
    治療部位上打格定位 然後將高能量的高頻電波傳導至皮膚層
  3. 膠原蛋白立即安全收縮,起到快速提拉效果, 真皮收縮引致緊緻,纖維中隔收縮實現外形修整。
    膠原蛋白立即安全收縮,起到快速提拉效果, 真皮收縮引致緊緻,纖維中隔收縮實現外形修整。
  4. 熱瑪吉拉提 VS 超聲刀拉提
    熱瑪吉拉提 VS 超聲刀拉提
成功案例
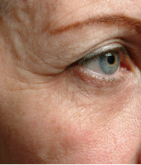
療程前<br>眼周及眼紋

療程前
眼周及眼紋

療程後6個月

療程後6個月

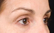
療程前<br>眼周及眼紋

療程前
眼周及眼紋

療程後15個月

療程後15個月

療程前<br>額頭、眼周、眼袋及虎紋

療程前
額頭、眼周、眼袋及虎紋

療程後10個月

療程後10個月

療程前<br>下半面

療程前
下半面

療程後

療程後

療程前<br>虎紋、下半面及頸部

療程前
虎紋、下半面及頸部

療程後3個月

療程後3個月

Q&A

*表面皮膚有開放性傷口或者嚴重痤瘡,局部有過敏反應的人群

*面部近期進行過脂肪填充或玻尿酸等微整形過的患者

*嚴重免疫疾病患者 *嚴重心臟病、糖尿病、甲亢以及晚期惡性腫瘤患者

*治療區域有植入物(醫療設備)者

Thermage® 運用單極射頻(Mono-polar RF)技術,加熱皮膚中含有豐富膠原蛋白的深層部位,透過熱能激發膠原蛋白收緊及增生,以減少皮膚下陷,提升輪廓,並改善皮膚質素。

每當探頭接觸皮膚時,您會感到短暫的冷凍感,接著是短暫的深層加熱感,並再出現另一次冷凍感。您感到熱力是因為皮膚深層正發揮緊緻作用。若您的醫生使用Thermage® FLX 或Thermage® CPT,您更會感到溫和的震動,提升療程的舒適感。在整個療程期間,醫生會持續詢問您對於加熱的感覺程度,協助您在舒適感及最大療效間取得最佳平衡。

Thermage®FLX獲得美國FDA認證,亦是目前FDA唯一認可用於眼瞼上的非入侵式療程。這項技術有超過十年以上的臨床研究經驗,安全性有良好保證。另外,每個探頭都是獨立包裝、即開即棄,並且貼有「原廠正貨」鐳射標籤及「Solta Medical 香港專賣」的封條,確保安全衞生。